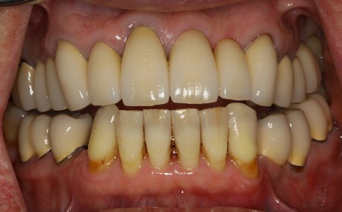
Full mouth rehabilitation is a term used in dentistry for rebuilding teeth and supporting structures after decay and gum disease has been stabilised. Full mouth rehabilitation is only required if your bite has collapsed and all of your teeth need to be rebuilt. Implants, crown and bridgework and/or partial or full dentures can be used to restore your bite close to its original height. Temporary restorations or dentures are used to get an idea of what the final result will be like before having the final restorations made in the laboratory. Temporary restorations also allow you to have input into your appearance and smile giving you the opportunity to show friends and family what your teeth may look like when the work is complete.
The stabilisation phase of treatment may take months or years depending on your response to slow the gum disease or decay processes. It is vital that your remaining teeth and gums are healthy before commencing full mouth rehabilitation.
Anglesea Clinic, First Floor landing
Cnr Anglesea & Thackeray Streets
P.O. BOX 228, Hamilton 3420
2021 © All rights reserved