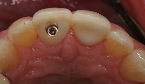
If you lose a tooth or multiple teeth, replacement options may include a partial or full denture, conventional bridge or dental implants. Dental implants act as an artificial root that become embedded in the bone in a process called osseointegration. An abutment and crown are then connected to the implant to look like a natural tooth. A thorough exam and implant planning is required to make sure implants are a suitable option. Bone grafting and soft tissue grafting may be required, depending on the site analysis.
For multiple missing teeth an implant-supported bridge may be required.
If all teeth in the upper and/or lower jaw are missing, a fixed bridge with 4-6 implants (for each jaw) may be advised or an over-denture that clips on to the implants.
If you have existing periodontal disease, this needs to be stabilised first. Patients with periodontal disease are at risk for peri-implantitis (gum disease around the implant) and you will need ongoing frequent maintenance and monitoring of teeth and implants to prevent this occurring. Poor oral hygiene or cigarette smoking is also a risk factor for peri-implantitis.
After surgery care is extremely important.
Anglesea Clinic, First Floor landing
Cnr Anglesea & Thackeray Streets
P.O. BOX 228, Hamilton 3420
2021 © All rights reserved