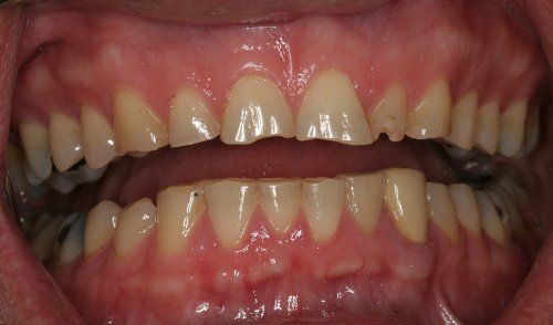
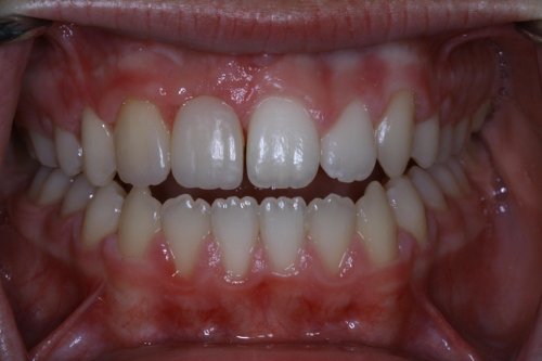
Composite Build Ups

Case Study

If your bite has collapsed, or if your existing teeth need modification (closing spaces or shape) then composite build ups may be suitable for you. 

If only your front teeth have worn because of grinding or erosion, then we may need to correct your bite at the front only. After placement of the composite it will feel as if you have too much tooth structure. This feeling usually changes and the majority of people will adapt to alterations in their bite within 6-8 weeks. You may also notice changes in your speech patterns and some tension in your chewing muscles.

A limited number of people have noted tenderness in their jaw joint following increases in the level of their bite. Most people successfully tolerate a moderate increase in their bite especially if their bite has closed over time due to loss of tooth structure.

Advantages

  • Conservative of tooth structure
  • Easy to repair or replace
  • Low cost when compared with porcelain crowns made in the laboratory
  • Once bite has been corrected , teeth can be crowned at a later date at your new bite, thus reducing costs and spreading out complex treatment
  • Faster treatment time

Disadvantages

  • Composite will wear more quickly compared with laboratory fabricated crowns or veneers
  • Sometimes if teeth are so badly broken down, only a crown will help restore the tooth
  • Composite will stain and chip more readily compared with porcelain